C-Field+®天工智能平台
天工开物 智见苍穹
便携式彩色多普勒超声诊断系统
作为开立医疗全新打造的高端全域笔记本超声,X11集成了当前先进的硬件架构和精密的设计工艺,提升多科室临床医生在常规影像检查中的诊断能力,为临床提供全面的诊疗支持。
天工开物 智见苍穹
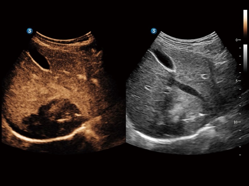
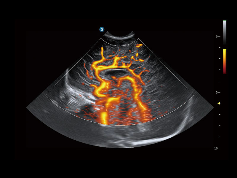
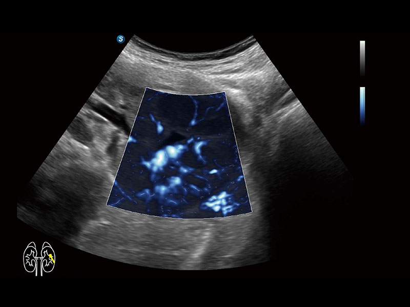
信噪比提升
分辨率&均一性提升
帧频提升
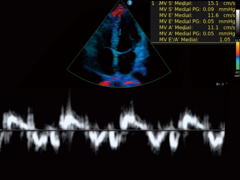
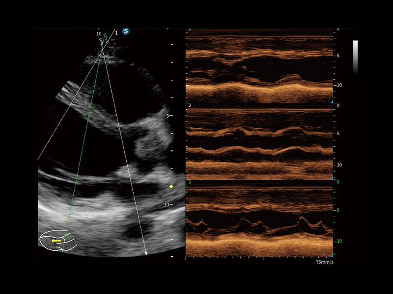
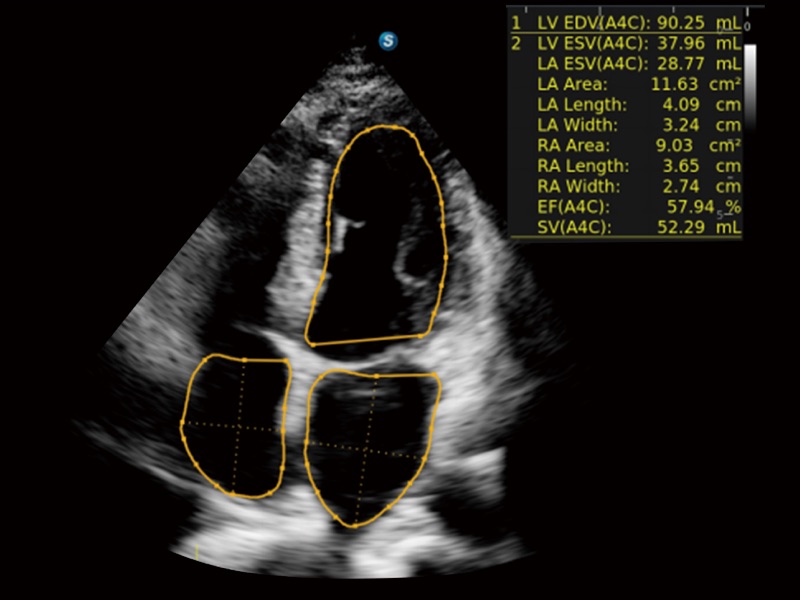
智能图像优化
智能信号处理
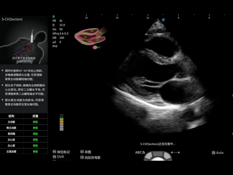
智能人机交互
X11 配备了可调节灵敏度的轨迹球,方便医生更便捷地进行测量操作。
磁吸电源接口让您轻松启动电源,同时保护线缆免受长期磨损。
电池包组合支持8小时超长续航,让您畅享全天扫查。
扩展4探头接口,避免频繁插拔探头,减少设备损耗。
深圳开立生物医疗科技股份有限公司(股票代码:300633)是一家全球领先的科技公司,致力于医疗设备的自主研发和制造,涵盖超声医学影像、内镜诊疗、微创外科和心血管介入等领域,为全世界170多个国家和地区的医疗机构提供专业专科化的整体解决方案。开立医疗志在成为守护全球健康的科技力量,为生命创造更多可能。

微信公众号
0755-26722890
400-678-8019
版权所有 @深圳开立生物医疗科技股份有限公司 粤ICP备20054866号 访问统计
互联网药品信息服务资格证书[(粤)-非经营性-2023-0479]