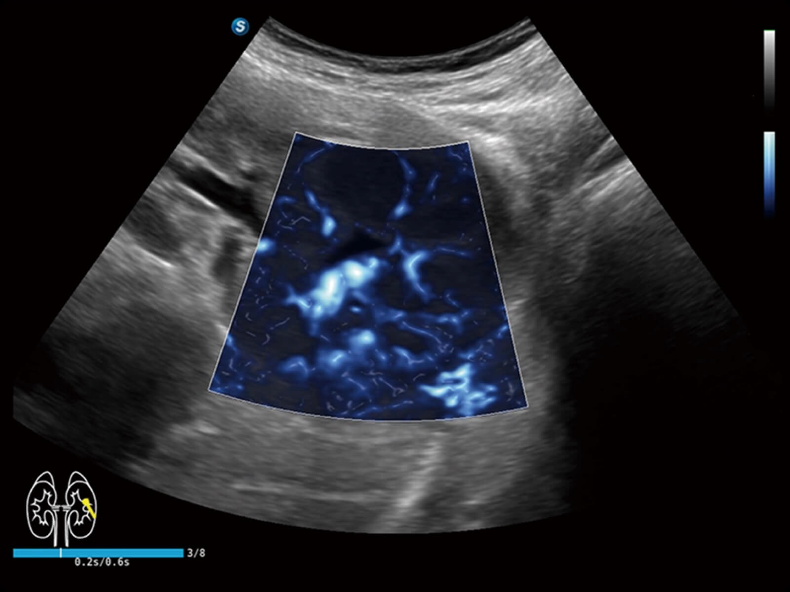
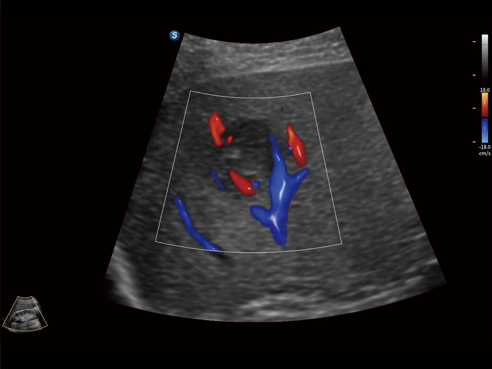
Bright Flow立体血流成像
通过光照模型,使二维血流显示出立体的效果,增加血流的敏感性、成束性,减少外溢。可以和其他不同的血流技术联合使用,轻松应对微小血管,增强血流的立体效果,提升视觉敏感性。
便携式彩色多普勒超声诊断系统
X10作为一款多功能便携式超声产品,其解决方案融合尖端技术与临床需求,能支持各类场景下的高效检查流程,助力医疗专业人员在基础医疗场景中作出更有把握的诊断。
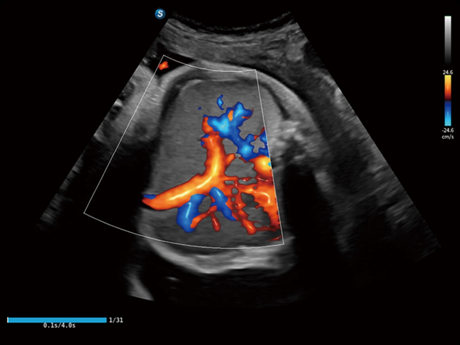
全身应用
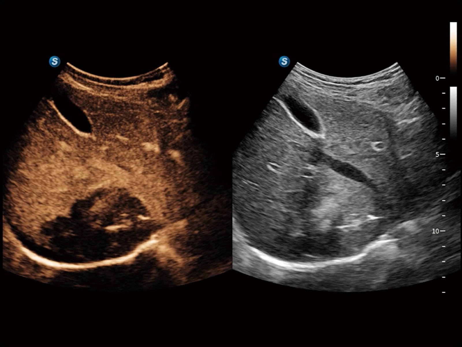
妇产应用
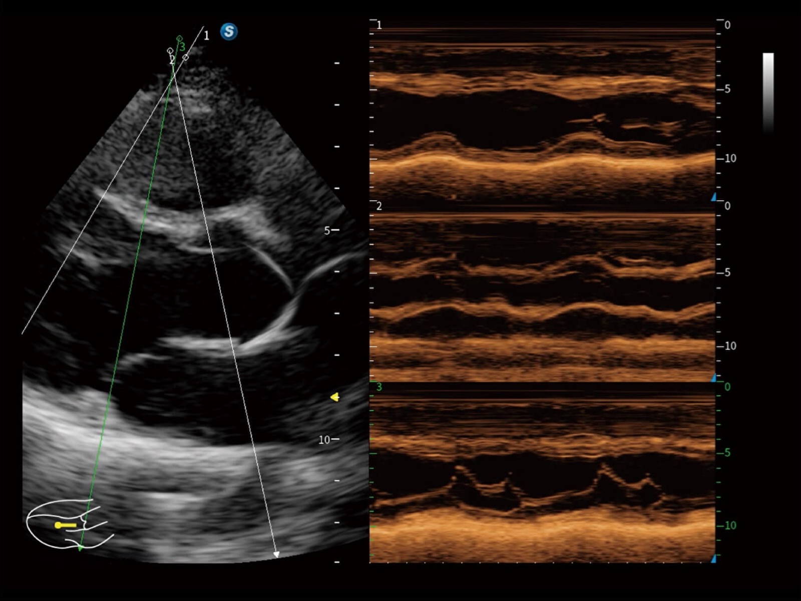
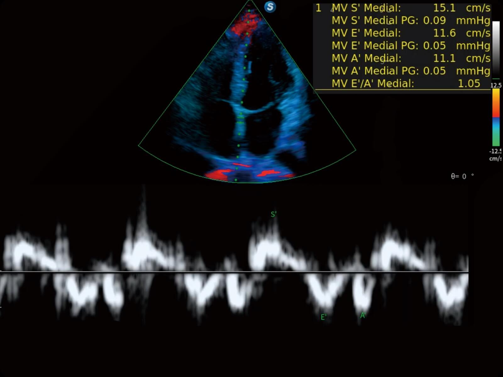
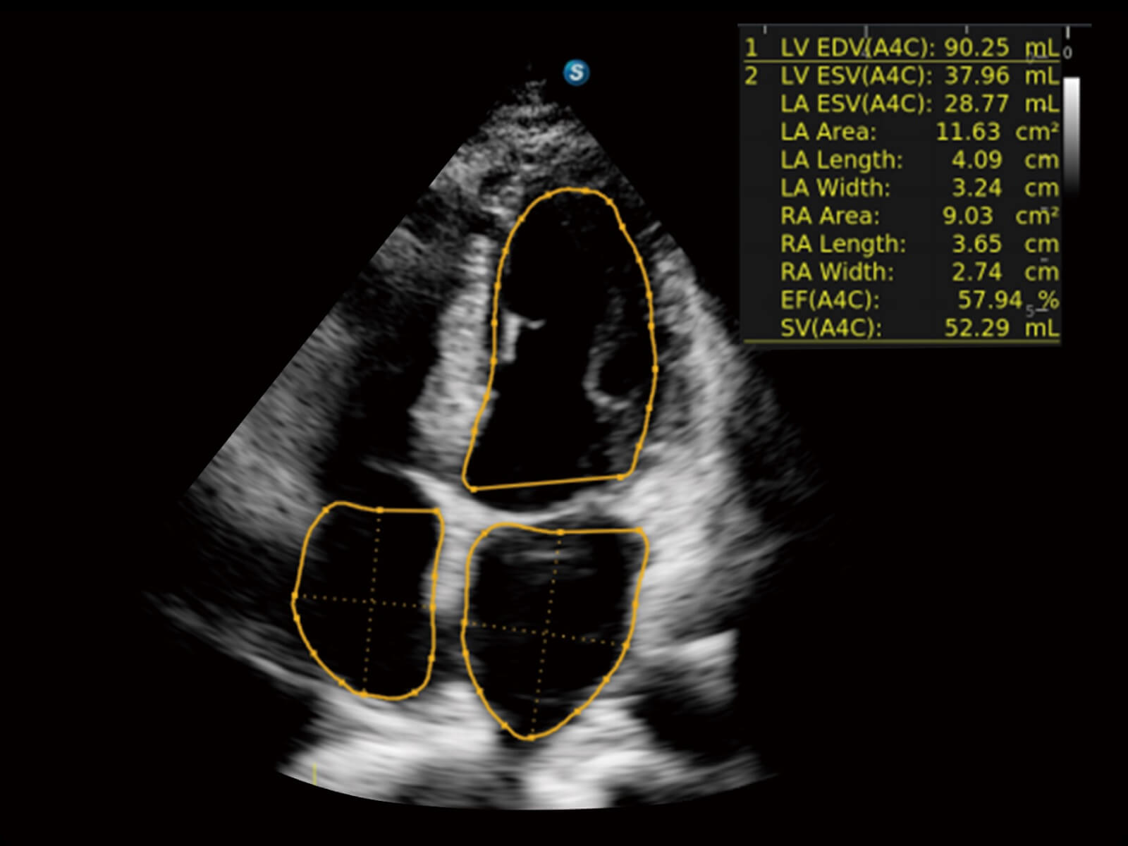
心脏应用
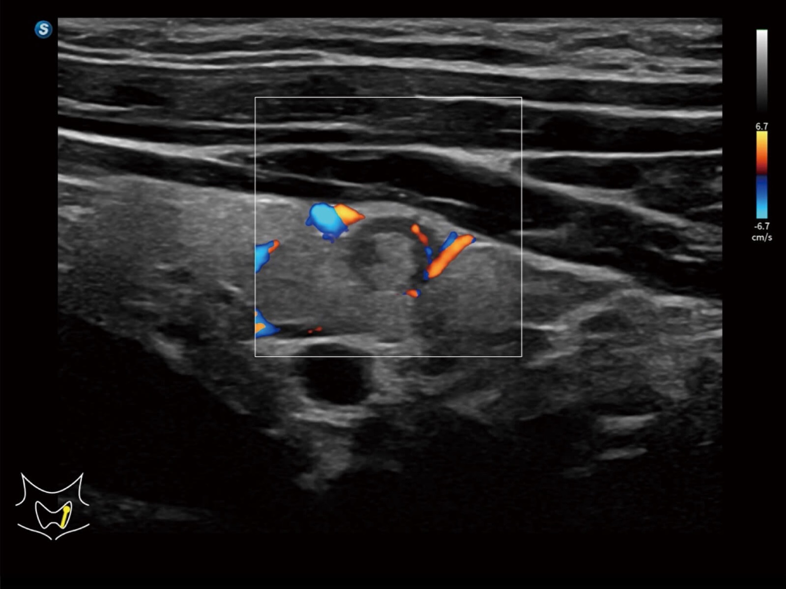
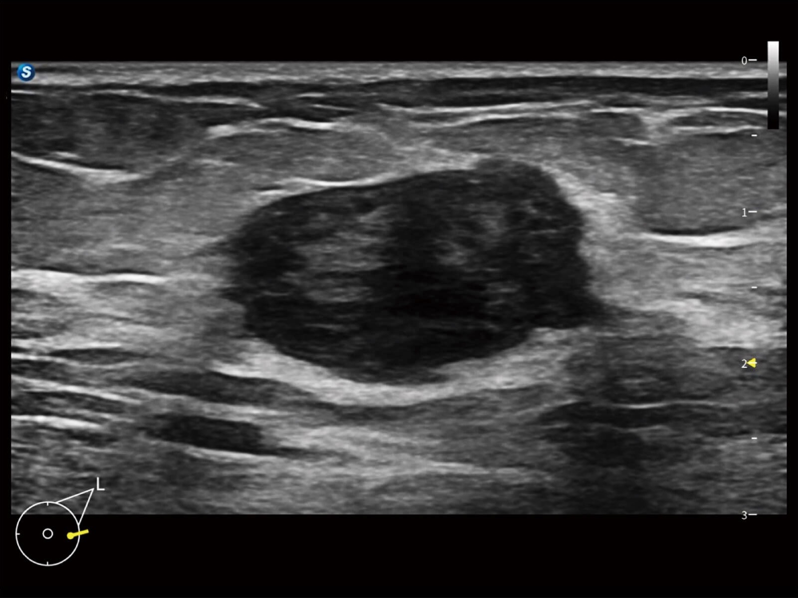
专科应用
卓越性能
轻松转运
大幅度升降调节,覆盖不同身高用户 大倾斜角面板调节,轻松应对复杂环境
极致视觉体验
高分辨率液晶显示屏 大尺寸液晶触摸屏 电量信息显示屏
轻松测量
一触即充
扩展更多应用
扫查无忧
深圳开立生物医疗科技股份有限公司(股票代码:300633)是一家全球领先的科技公司,致力于医疗设备的自主研发和制造,涵盖超声医学影像、内镜诊疗、微创外科和心血管介入等领域,为全世界170多个国家和地区的医疗机构提供专业专科化的整体解决方案。开立医疗志在成为守护全球健康的科技力量,为生命创造更多可能。

微信公众号
0755-26722890
400-678-8019
版权所有 @深圳开立生物医疗科技股份有限公司 粤ICP备20054866号 访问统计
互联网药品信息服务资格证书[(粤)-非经营性-2023-0479]