探头自动唤醒Probe Auto Wake up
从冻结状态下拿起探头并挥动,轻松切换探头与预设诊断项。
便携式彩色多普勒超声诊断系统
E10 便携式超声兼具稳定可靠的图像与丰富高效的功能,旨在优化诊疗流程,节省宝贵时间,为床旁诊断提供有力支持,让床旁所需的核心性能触手可及。
E10为急危重症患者的快速评估提供标准化、流程化、图形化的超声检查引导,集成多种工作流工具,助力精准诊断与高效救治。
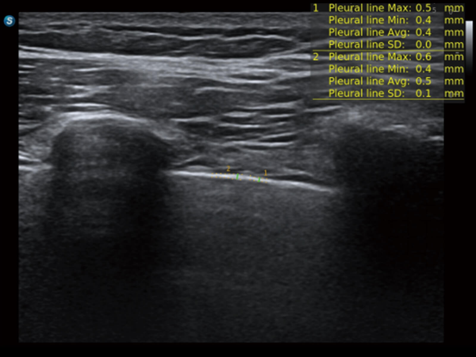
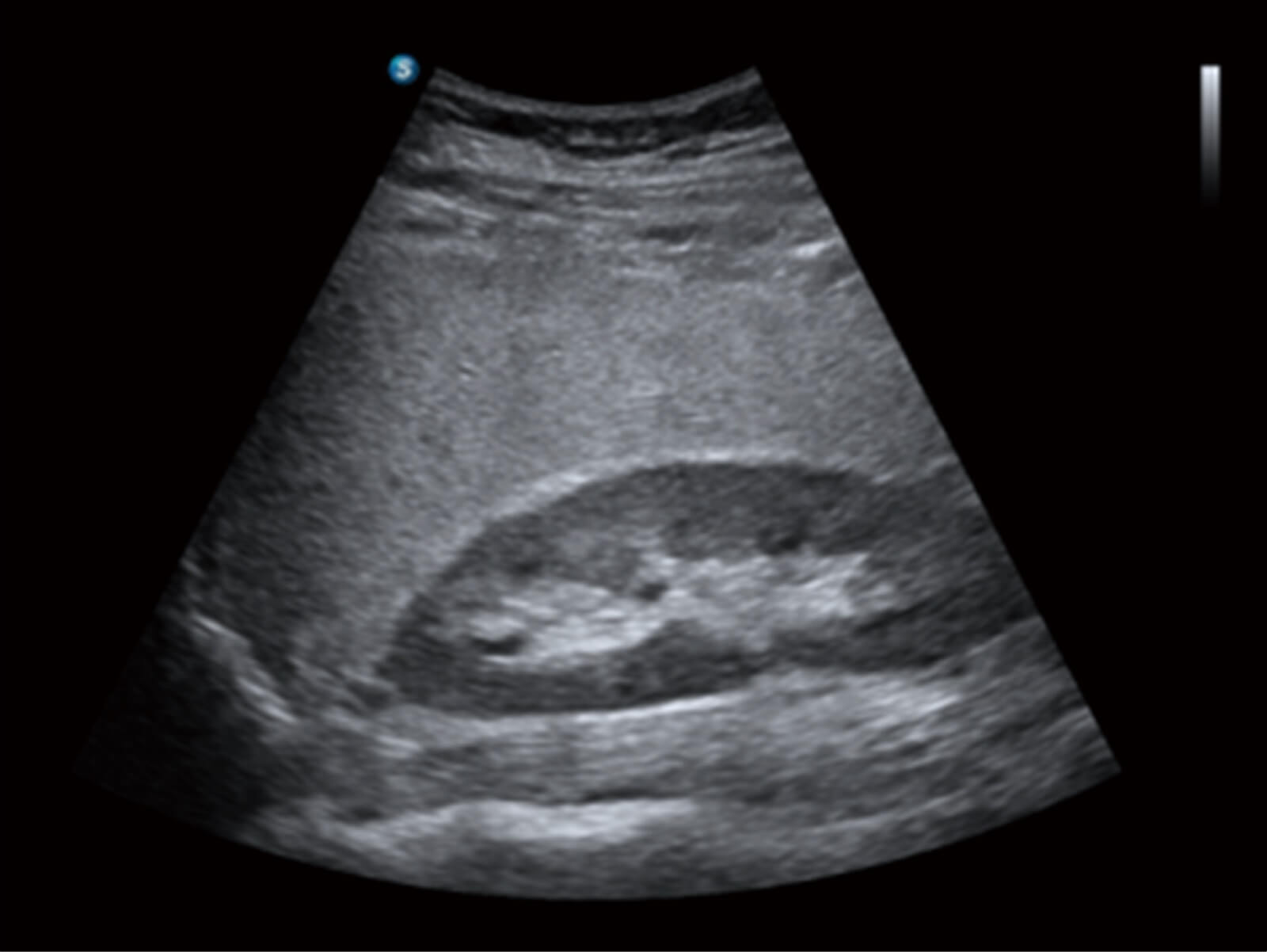
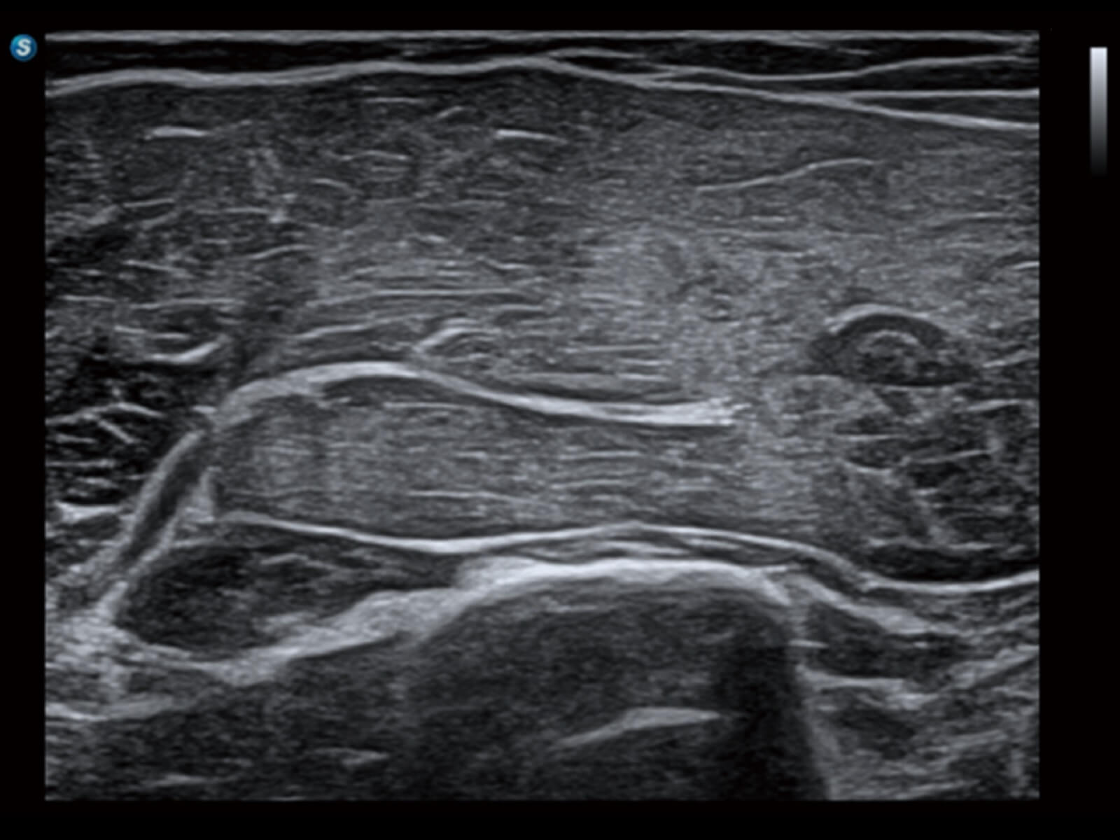
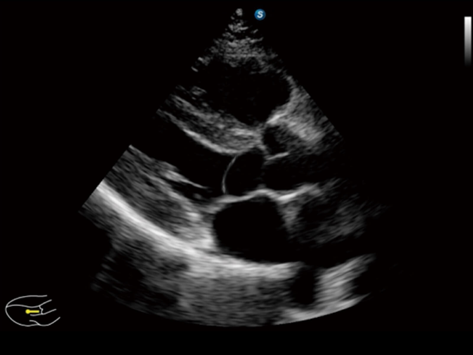
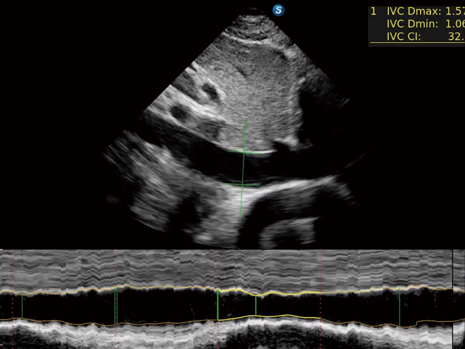
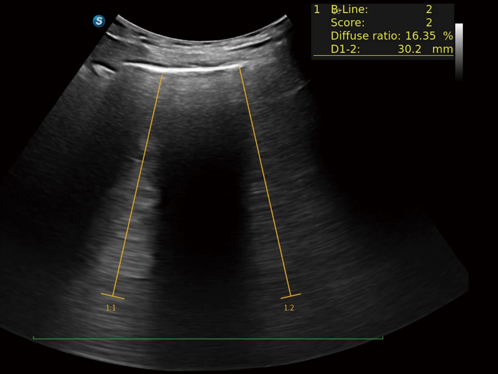
重症监护
急诊
肌骨
麻醉
血管评估
直观 高效
轻松转运
大幅度升降调节,覆盖不同身高用户 大倾斜角面板调节,轻松应对复杂环境
极致视觉体验
高分辨率液晶显示屏 大尺寸液晶触摸屏 电量信息显示屏
全面防泼溅设计
一触即充
扩展更多应用
扫查无忧
深圳开立生物医疗科技股份有限公司(股票代码:300633)是一家全球领先的科技公司,致力于医疗设备的自主研发和制造,涵盖超声医学影像、内镜诊疗、微创外科和心血管介入等领域,为全世界170多个国家和地区的医疗机构提供专业专科化的整体解决方案。开立医疗志在成为守护全球健康的科技力量,为生命创造更多可能。

微信公众号
0755-26722890
400-678-8019
版权所有 @深圳开立生物医疗科技股份有限公司 粤ICP备20054866号 访问统计
互联网药品信息服务资格证书[(粤)-非经营性-2023-0479]